- Conócenos
- Dental
- Especialidades
- Casos clínicos
- Blog
Casos clínicos
Antes y después con resultados reales
- Casos reales, resultados reales: antes y después y explicación del tratamiento
- Transparencia y criterio clínico: diagnóstico, planificación y seguimiento por profesionales.
- Tu punto de partida: inspírate, compara opciones y solicita una valoración personalizada.
Descubre nuestros casos de éxito
La mejor garantía de nuestro trabajo es la satisfacción de quienes ya han confiado en nosotros para transformar su salud y su imagen. En Clínica Dental Palafox, entendemos que cada paciente es único y que detrás de cada tratamiento hay una historia personal y un objetivo de bienestar.
En esta sección, compartimos una selección de resultados reales que reflejan el compromiso de nuestro equipo con la excelencia clínica y el uso de tecnología de vanguardia. Aquí podrás observar cómo la combinación de experiencia y trato humano permite alcanzar soluciones precisas, funcionales y altamente estéticas, incluso en los casos más complejos.
- Resultados Reales: Documentación visual de pacientes que han finalizado sus tratamientos con éxito
- Transparencia: Explicación clara de los procedimientos realizados para alcanzar cada objetivo
- Confianza: El testimonio visual de que, para nuestro equipo, ningún caso es un caso perdido
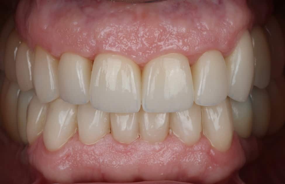
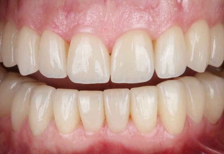
Antes y despues de nuestros tratamientos de estética dental
La estética dental es mucho más que una cuestión de imagen; es la armonía perfecta entre salud, función y belleza. A través de nuestros tratamientos, devolvemos a nuestros pacientes no solo una sonrisa radiante, sino también la seguridad y la calidad de vida que merecen.
Mediante técnicas como las carillas de porcelana, el blanqueamiento dental de alta gama o la rehabilitación con composites, logramos cambios significativos que respetan la naturalidad de cada rostro. Desliza para comparar la situación inicial y el resultado final, y descubre el impacto positivo que una odontología estética de precisión puede tener en tu autoestima.
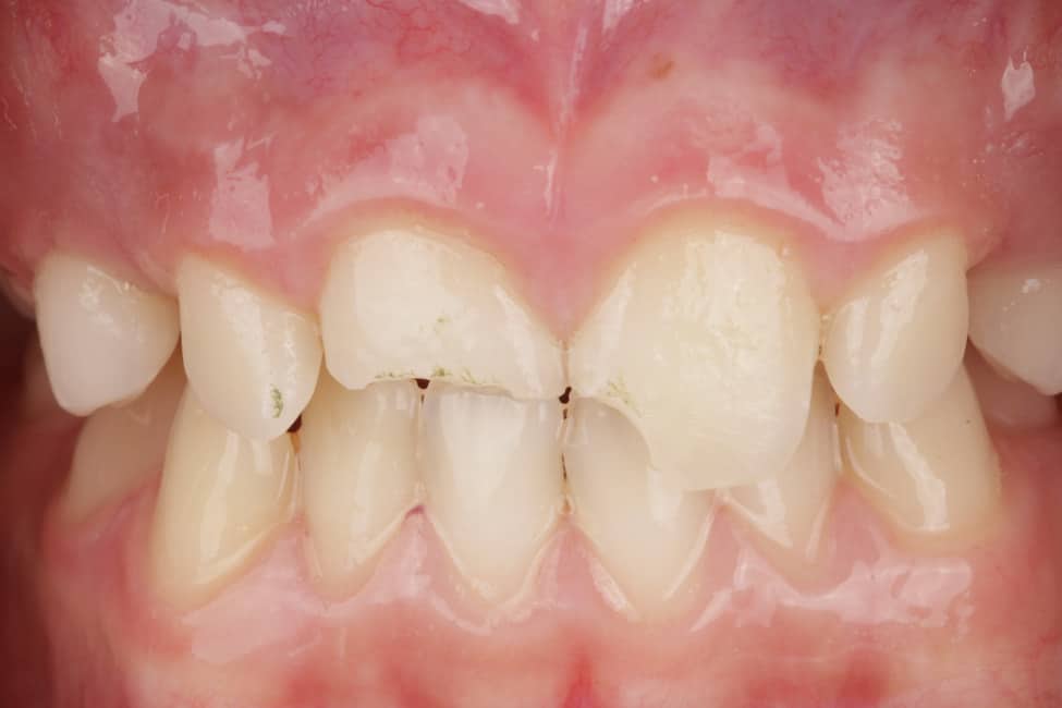
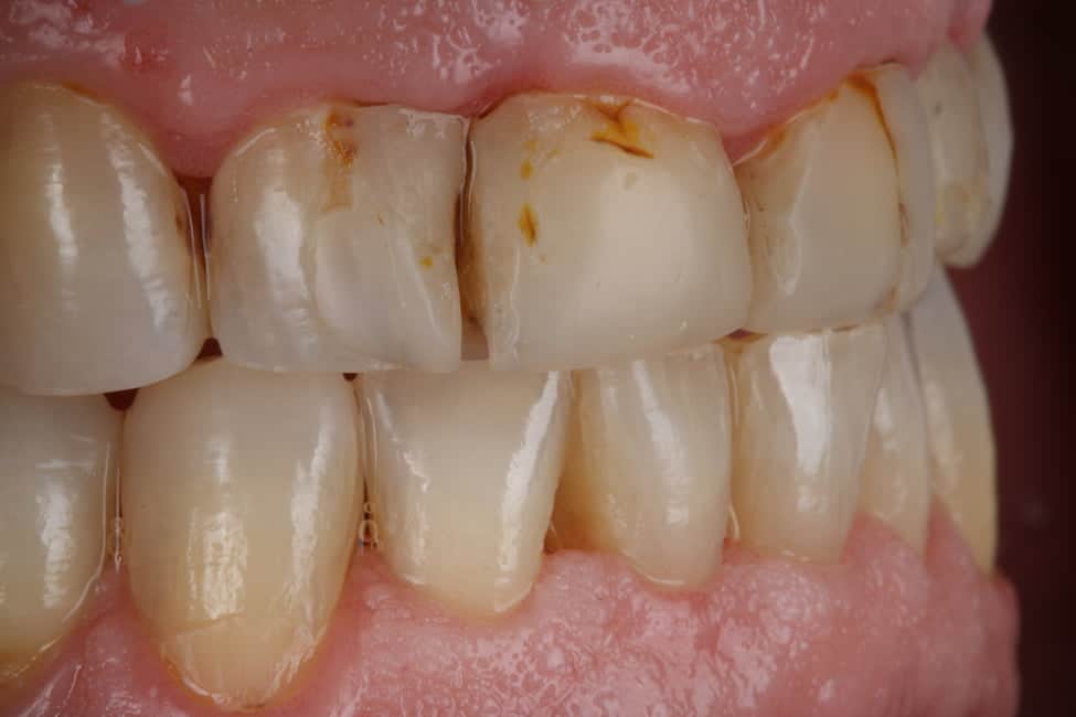
Reposición de diente fracturado con el propio fragmento del paciente
- Paciente infantil acude a consulta tras traumatismo jugando en el colegio. Trae los fragmentos de los dientes fracturados, ideal para ser lo más conservadores posible. Una vez comprobado que los fragmentos encajan correctamente, los desinfectamos y los cementamos con técnica adhesiva.
- En casos de poder conservar el fragmento, lo ideal es hacerlo en la propia saliva del paciente (teniendo cuidado de no tragarlo), en suero fisiológico o en leche.
- Es importante hacer controles radiográficos periódicos, ya que muchas de las lesiones apicales no surgen en el momento del traumatismo, sino a posteriori.





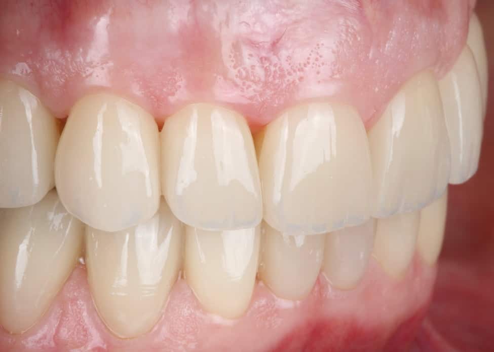
Rehabilitación completa adhesiva por desgaste en paciente joven
- Paciente acude a consulta tras tratamiento de ortodoncia para mejorar el aspecto de su sonrisa.
- Presenta tinciones por tetraciclinas y desgaste dental severo.
- Tras realizar un estudio exhaustivo optamos por rehabilitación completa adhesiva con carillas e incrustaciones cerámicas. Realizamos una prueba de mock-up previa a la preparación de los dientes para establecer la longitud de los dientes definitivos.
- Las carillas las realizamos en porcelana feldespática y las incrustaciones en disilicato de litio.
- Revisamos a la paciente cada 6 meses.
Rehabilitación completa adhesiva por desgaste dental severo en paciente de mediana edad
- Paciente acude a consulta preocupada por el aspecto y desgaste de su dentición.
- Presenta signos de atricción, erosión y abfracción.
- Tras realizar un estudio exhaustivo optamos por una rehabilitación completa adhesiva con carillas e incrustaciones cerámicas. Realizamos una prueba de mock-up previa a la preparación de los dientes para establecer la longitud de los dientes definitivos.
- Las carillas las realizamos en porcelana feldespática y las incrustaciones en disilicato de litio.
- Revisamos a la paciente cada 6 meses.
Rehabilitación completa adhesiva por desgaste dental severo en paciente de avanzada edad
- Paciente acude a consulta preocupado por la ausencia de piezas dentales y por el aspecto de su dentición.
- Presenta signos de trauma oclusal, atricción, erosión y abfracción.
- Tras realizar un estudio exhaustivo optamos por una rehabilitación completa con implantes, coronas, carillas e incrustaciones. Realizamos una prueba previa a la preparación de los dientes para establecer la longitud de los dientes definitivos.
- Una vez rehabilitados los sectores posteriores, acometemos el sector anterior pero nunca antes ya que necesitamos tener una estabilidad oclusal.
- Al finalizar, colocamos una férula de protección de restauraciones tipo férula de descarga Michigan para su uso nocturno.
- Revisamos al paciente cada 6 meses.
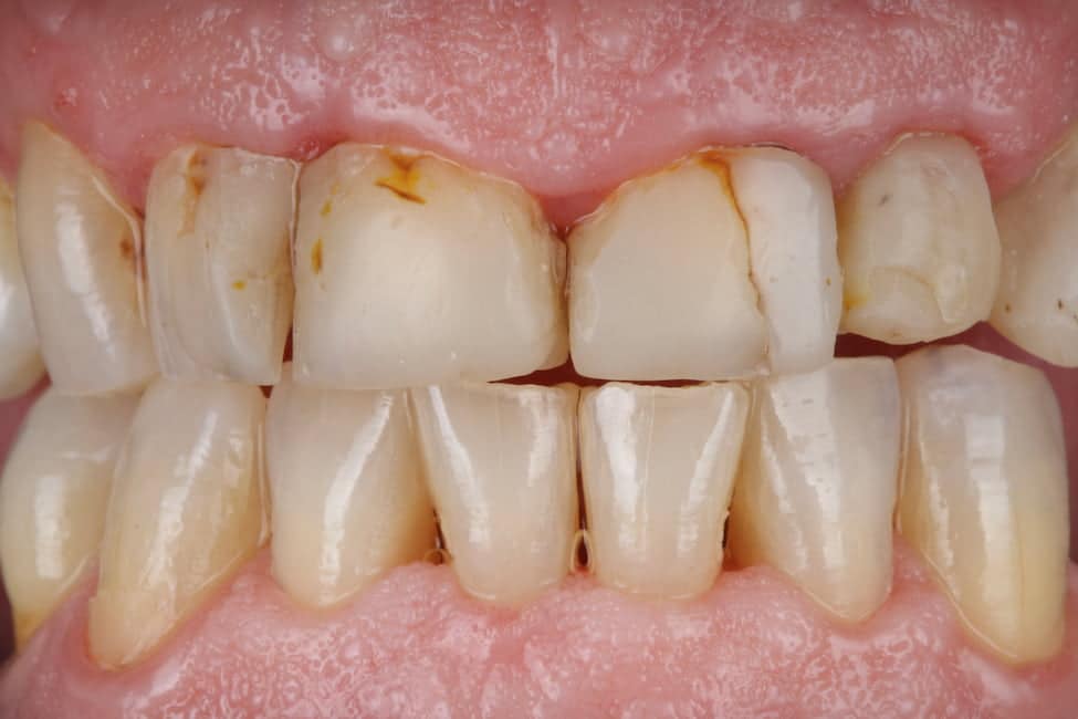
Blanqueamiento dental y carillas en dientes con restauraciones obsoletas
- Paciente joven acude a consulta queriendo mejorar el aspecto de su sonrisa. Presenta una tonalidad dental que quiere mejorar y dos restauraciones obsoletas en los incisivos laterales que le hicieron en la infancia debido a su aspecto microdóntico.
- Proponemos blanqueamiento dental combinado y carillas en los incisivos laterales.
- El blanqueamiento dental combinado lo hacemos en clínica y en casa alternando distintas concentraciones durante aproximadamente 3 semanas. Una vez logrado el color deseado, procedemos a realizar las carillas.
- En este caso la paciente descartó un tratamiento previo de ortodoncia.
- Revisamos a la paciente cada 6 meses.
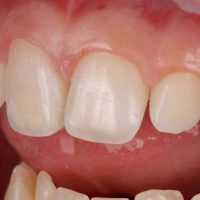
Cierre de diastema con composite directo
- Paciente joven acude a consulta con diastema interincisal interesado en cerrarlo. Una vez descartadas otras patologías, procedemos al cierre del diastema con composite directo.
- El composite es un material que se mimetiza con el esmalte dental ofreciendo un aspecto natural, pero requiere de pulidos periódicos.
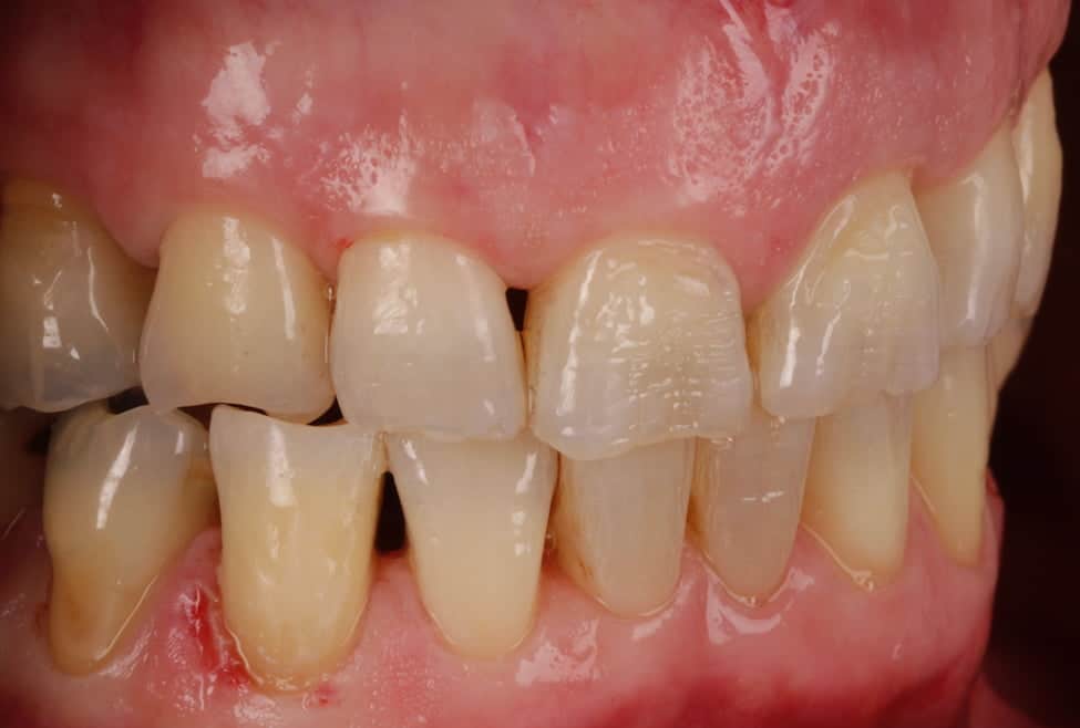
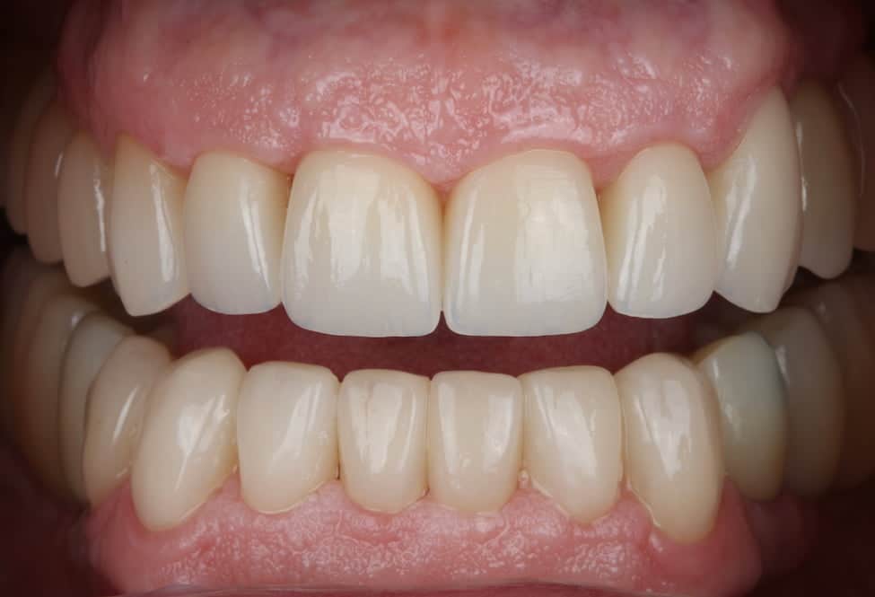
Rehabilitación completa adhesiva en paciente joven con desgaste dental severo y tinción por tetraciclinas
- Paciente joven acude a consulta referido por el ortodoncista para tratamiento de desgaste.
- La tetraciclina era un medicamento que se administraba en los años 50 que a posteriori se han podido observar los efectos secundarios que tienen en la boca: tinción dental intrínseca. Existen distintos grados y en función de su severidad. Las tinciones por tetraciclinas suponen un reto a nivel restaurador.
- En este caso se trata de un paciente con desgaste dental severo y tinción por tetraciclinas grado IV.
- Tras realizar un estudio exhaustivo optamos por una rehabilitación completa con coronas, carillas e incrustaciones en disilicato de litio. Realizamos una prueba previa a la preparación de los dientes para establecer la longitud de los dientes definitivos.
- Al finalizar el tratamiento, protegemos con una férula nocturna tipo Michigan.
- Revisamos a la paciente cada 6 meses.
Rehabilitación completa adhesiva en paciente joven con desgaste dental severo y tinción por tetraciclinas
- Paciente joven acude a consulta referido por el ortodoncista para tratamiento de desgaste.
- La tetraciclina era un medicamento que se administraba en los años 50 que a posteriori se han podido observar los efectos secundarios que tienen en la boca: tinción dental intrínseca. Existen distintos grados y en función de su severidad. Las tinciones por tetraciclinas suponen un reto a nivel restaurador.
- En este caso se trata de un paciente con desgaste dental severo y tinción por tetraciclinas grado IV.
- Tras realizar un estudio exhaustivo optamos por una rehabilitación completa con carillas e incrustaciones en disilicato de litio. Realizamos una prueba previa a la preparación de los dientes para establecer la longitud de los dientes definitivos.
- Revisamos a la paciente cada 6 meses.
Rehabilitación con carillas en sector anterior en paciente con desgaste dental severo y obturaciones obsoletas
- Paciente joven acude a consulta referido por el ortodoncista para tratamiento de desgaste y cambio de restauraciones antiguas sobreobturadas y filtradas.
- Tras realizar un estudio exhaustivo optamos por una rehabilitación en sector anterior con carillas feldespáticas.
- Revisamos a la paciente cada 6 meses.
Rehabilitación completa adhesiva por desgaste en paciente de avanzada edad
- Paciente acude a consulta preocupado por el aspecto desgastado de su dentición.
- Presenta signos de atricción y erosión.
- Tras realizar un estudio exhaustivo optamos por una rehabilitación completa adhesiva con carillas e incrustaciones. Realizamos una prueba previa a la preparación de los dientes para establecer la longitud de los dientes definitivos.
- Al finalizar, colocamos una férula de protección de restauraciones tipo férula de descarga Michigan para su uso nocturno.
- Revisamos al paciente cada 6 meses.
Rehabilitación completa adhesiva por desgaste en paciente de mediana edad
- Paciente acude a consulta interesado en rehabilitación integral.
- Presenta signos de trauma oclusal, atricción y erosión.
- Tras realizar un estudio exhaustivo optamos por una rehabilitación completa con implantes, coronas, carillas e incrustaciones. Realizamos una prueba previa a la preparación de los dientes para establecer la longitud de los dientes definitivos.
- Al finalizar, colocamos una férula de protección de restauraciones tipo férula de descarga Michigan para su uso nocturno.
- Revisamos al paciente cada 6 meses.
Rehabilitación en sector anterior con cambio de restauraciones obsoletas
- Paciente acude a consulta interesada en cambiar las coronas metal-cerámica del sector anterior que le pusieron hace más de 20 años.
- Presenta signos de retracción gingival y consecuente filtración por caries.
- Tras realizar un estudio exhaustivo optamos por una rehabilitación del sector anterior con levantamiento de coronas antiguas, reendodoncias, reconstrucciones y puente anterior tipo BOPT* en circonio estratificado.
- *BOPT: Realizamos un tallado subgingival, por lo que la fase provisional tuvo una duración de aproximadamente 8 semanas para el manejo de tejidos blandos antes de realizar las coronas definitivas.
- Revisamos a la paciente cada 6 meses.
Tratamiento de desgaste incipiente con composite directo en paciente joven
- Paciente acude a consulta para una revisión. Interceptamos desgaste en sector anterior en ausencia de guía anterior y guías caninas.
- Proponemos restaurar la guía anterior con composite directo en bordes incisales y cúspides de caninos.
- Al finalizar, realizamos una férula de descarga tipo Michigan. Revisamos a la paciente cada 6 meses.
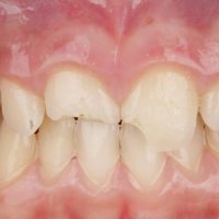
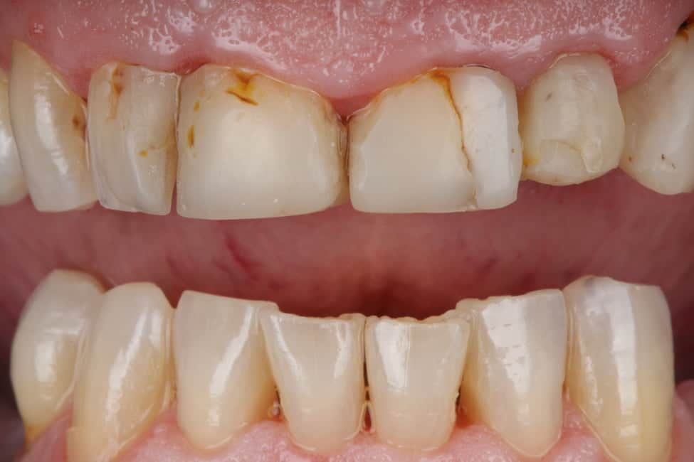
Cambio de carillas de composite obsoletas por carillas cerámicas en paciente joven
- Paciente acude a consulta interesada en mejorar el aspecto de su sonrisa.
- Presenta carillas de composite obsoletas, filtradas por caries, opacas, con falta de brillo y luminosidad. Proponemos sustituirlas por carillas feldespáticas de alta estética.
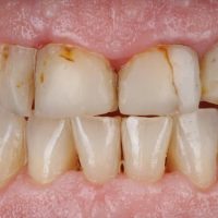
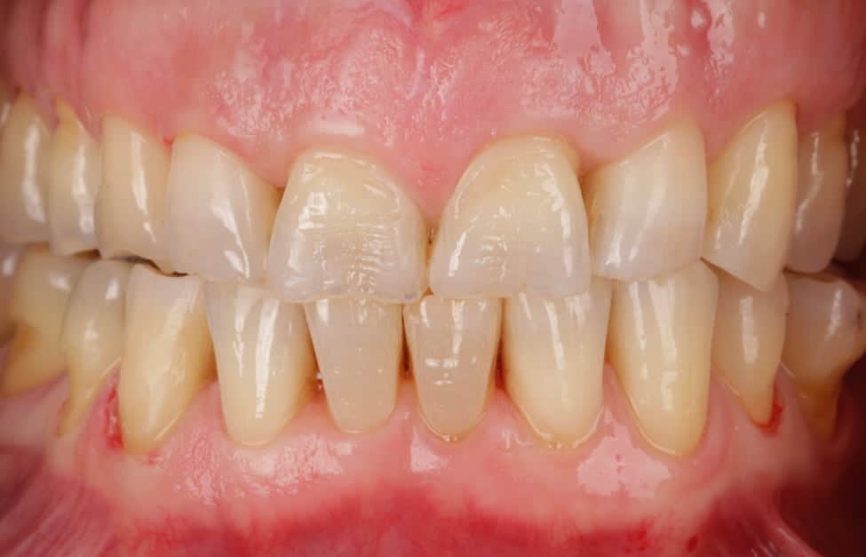
Recesiones gingivales. Tratamiento combinado de cirugía mucogingival y carillas
- Paciente acude a consulta interesada en mejorar el aspecto de su sonrisa.
- Presenta múltiples recesiones (retracción de encías) por malposición gingival y cepillado dental traumático, abfracciones y restauraciones obsoletas.
- Resolvimos el caso con tratamiento periodontal, cirugía mucogingival,y carillas feldespáticas de alta estética.
Qué opinan nuestros pacientes

Eli Gimenez S.
Esta clínica es muy recomendable .El personal es muy amable, en especial Corona 👑

Octavio Melian M.
Trato inmejorable. Personal muy atento. Atención exquisita. Dr. Ivan Nogueira de lo mejor que me he encontrado. Merece la pena volar desde Gran Canaria.

Sonia Garcia G.
Una clínica increíble, viajando desde canarias para que el gran equipo que tienen me trate. Sin dudarlo son maravillosos y dentro del equipo un gran cirujano, Iván Nogueira. Que es increíble. Puedo recomendar la estética de manos de la doctora Marta. Me ha dejado una boca perfecta y preciosa. Gracias Marta

David H.
No puedo estar más agradecido con la Clínica Dental Palafox. Desde el primer momento, el trato de todo el personal ha sido excepcional. Los odontólogos son grandes profesionales, pero lo que realmente marca la diferencia es su amabilidad, su flexibilidad con las citas y, sobre todo, la paciencia infinita que tienen. Te hacen sentir cómodo y tranquilo en todo momento. ¡100% recomendados!"

Isabelle M.
Súper profesional,amable,todo perfecto!!!

Emilio Gran H.
Acudimos para un presupuesto. Una atención profesional y a la vez familiar. Se preocupan de que las intervenciones sean lo más cómodas posibles para el paciente, preocupándose para realizarlos con las menores molestias posibles. Hace años que acudimos a este Centro, y lo seguiremos haciendo cada vez que haga falta

JESUS GARCIA C.
Todo perfecto, son un equipo estupendo y un trato super familiar.

moises O.
Excelentes profesionales

Carla L.
Son super profesionales muy majos todos lo recomiendo

Marimar N.
Unos grandes profesionales y la atención personalizada no puede ser mejor. Muy contenta con toda la atención recibida y por supuesto recomiendo sus servicios!



























