Caso clínico | Sedación consciente

A continuación, os presentamos un nuevo caso clínico de un paciente con periodontitis crónica, elaborado por el equipo de Cirugía Oral e Implantología de Centro Médico Palafox. 

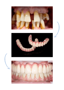
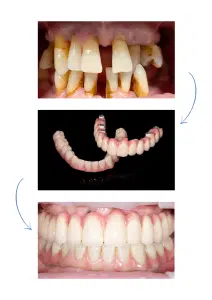
La Periodontitis, es una enfermedad periodontal grave e irreversible, que afecta a entre un 15% y un 20% de los adultos de entre 35 y 44 años, según la Organización Mundial de la Salud. Esta patología, a diferencia de la gingivitis, se caracteriza por la pérdida estructural del aparato de inserción y es el motivo principal de la caída dental en los adultos. Este trastorno no es común en los niños, pero su presencia se incrementa durante la adolescencia.

En este caso clínico,  paciente en cuestión acude a nuestro clínica dental en busca de una solución a su problema periodontal. Sufre una enfermedad periodontal avanzada, que provoca una movilidad extrema de todas las piezas dentarias impidiendo una correcta masticación reduciendo de este modo su calidad de vida. Tras un exhaustivo estudio de su caso utilizando las últimas tecnologías (estudio radiográfico con CBCT o TAC, escaneado digital, serie radiográfica, fotografía profesional) por parte del equipo de cirugía oral, se propone la rehabilitación completa con implantes dentales y prótesis fijas atornilladas (carga inmediata) a las 24 horas de la cirugía.

Desde el primer día el paciente ha recuperado su capacidad masticatoria. Además, hemos conseguido cambiar por completo su estética, lo que le ha permitido mejorar exponencialmente su calidad de vida, disfrutando de una nueva y bonita sonrisa. El paciente acude periódicamente a sus revisiones de mantenimiento. 

Podéis observar el resultado en la siguientes fotografías 

Diseno sin titulo 1

Dr. Iván Nogueira
Responsable Cirugía Oral e Implantología

Licenciado en Odontología (Universidad de Santiago de Compostela), con Máster Internacional en Cirugía, Periodoncia e Implantología (Universidad Católica de Murcia, ESIRO) y Máster en Cirugía Oral Avanzada. Especialista en microscopio quirúrgico y experto en odontología digital, se mantiene en constante actualización para ofrecer un enfoque clínico preciso y personalizado. Miembro activo de diversas sociedades científicas, destaca por su compromiso con la excelencia y la seguridad en cada intervención.